成人の上顎前突(唇側矯正装置+歯科矯正用アンカースクリュー、抜歯)

初診時正面

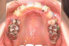
初診時上顎

初診時左側面

初診時下顎
初診時の口腔内写真です。上顎の中切歯に翼状捻転が認められます。また、下顎にも叢生が認められます。スペースの不足量は上顎5mm、下顎10mmでした。
上顎両側の第一小臼歯と下顎両側の第二小臼歯を抜歯(合計4本)し、効果的に上顎前歯の後退をはかるため上顎臼歯部に固定源のための歯科矯正用アンカースクリュー(ミニインプラント)を植立することにしました。
本症例では第二小臼歯と第一大臼歯間に植立しましたが、他にも第一大臼歯と第二大臼歯間というのも多い選択肢です。第二小臼歯と第一大臼歯間に植立するメリットは安全性が高いことが挙げられます。歯根間距離が広いことが多いので術者としては安心して施術できます。もっともケースバイケースで第一大臼歯と第二大臼歯の間の方が歯根間距離が大きいこともあります。ただ、角化歯肉領域に関しては第一大臼歯と第二大臼歯間のほうが広いことが多く悩ましいところではあります。
植立の成功率が同程度なら第一大臼歯と第二大臼歯間に植立したほうが臨床的にはやや有利です。これはなるべく牽引する位置からアンカースクリューが遠い方がなにかと都合が良いことが多いことに起因します。前歯を後方に牽引する際に、前歯の近くにアンカースクリューがあるよりも遠くにあった方が牽引しやすいのです。抜歯空隙が大きいうちはいいのですが、小さくなってくると前歯とアンカースクリューの距離が近すぎて牽引するのがやや難しくなります。また、前歯からアンカースクリューまでの距離が長いと牽引に使用する矯正装置の選択肢も増えます(エラスティックやコイルスプリングなど)。
そうはいっても第二小臼歯間と第一大臼歯間に植立することが多いと思います。当院では8割がそうです。第一大臼歯と第二大臼歯の間に植立するのは第二小臼歯と第一小臼歯間に角化歯肉が少ないか、第一大臼歯と第二大臼歯間の頬側歯槽骨が発達していて明らかに当該部位に植立する方が有利な場合です。

治療開始12ヵ月後正面

治療開始12ヵ月後上顎

治療開始12ヵ月後左側面

治療開始12ヵ月後下顎
治療開始12ヶ月後の口腔内写真です。下顎の叢生はほぼなくなっています。矯正用アンカースクリューを固定源として上顎前歯部を後方に牽引しているところです。カラーモジュールを使用しています。本症例では青、黄、緑ですが、赤、金、銀、紫など20色程度あります。ご希望の患者様はお申し付けください(無料です)。

終了時正面

終了時上顎

終了時左側面

終了時下顎
治療期間は18ヵ月でした。唇側矯正装置に矯正用アンカースクリューを併用することで前歯の効率的な後退と治療期間の短縮が達成されました。
治療の目安
- 主訴
- 上顎の中切歯に翼状捻転
- 診断名
- 上顎前突
- 年齢
- 32歳 女性
- 治療に用いた主な装置
- マルチブラケット装置、歯科矯正用アンカースクリュー
- 抜歯部位
- 上顎両側の第一小臼歯、下顎両側の第二小臼歯
- 治療期間
- 18ヵ月 / 月に約1回の通院
- 治療費
- 約820,000円(税込)
- リスクと副作用
-
- 治療中は歯みがきしにくい箇所ができるため、虫歯や歯周病のリスクが高くなるので、念入りな歯みがきが必要になります。
- 初めて矯正装置を装着した時や調整した後は、疼痛や圧迫感などを感じることがあります。
- 歯並びを整え、咬み合わせを改善するために、やむを得ず健康な歯を抜くことがあります。
- 歯を動かす際に、歯根吸収や歯肉退縮が起こることがあります。
NEXT→CASE2叢生1(唇側矯正装置、非抜歯)
