HOME > 歯列矯正治療例 > 下顎前突(受け口)
下顎前突(受け口)
正常な噛み合わせでは上顎の前歯が下顎の前歯に少しかぶさるようになっています。下顎前突は、受け口とも言われるように下顎の前歯が上顎の前歯より突出している状態です。歯に原因が限局される場合と、骨格的な問題を抱えている場合があります。咀嚼機能が低いだけでなく、受け口特有の顔貌や発音障害(サ行、タ行)などの問題もあります。不正咬合の中でも特に早期治療が望ましく、骨格的な受け口は不正咬合の中でも早期治療が最も効果的な症状です。
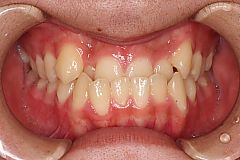
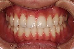
下顎前突治療例1
治療期間1年10か月 舌側矯正装置 上顎左側第一小臼歯、上顎右側第二小臼歯、下顎両側第一小臼歯抜歯
下顎前突と叢生の合併症です。小臼歯を4本抜歯する場合、一般的には上下顎両側の第一小臼歯を抜歯することが多いのですがこのケースでは上顎右側(写真では左側)の第二小臼歯が虫歯の治療をしていたこともあって第二小臼歯の抜歯を選択しました。
この症例では初診時、下口唇の突出感も目立っていましたが下顎前歯を後退させることで下口唇の突出感も改善し良好な審美性を得ることができました。










下口唇の突出感も改善しました
治療の目安
- 主訴
- 受け口
- 診断名
- 下顎前突
- 年齢
- 28歳 女性
- 治療に用いた主な装置
- リンガルブラケット矯正装置
- 抜歯部位
- 上顎左側第一小臼歯、上顎右側第二小臼歯、下顎両側第一小臼歯
- 治療期間
- 1年10か月/ 月に約1回の通院
- 治療費
- 約1,280,000円(税込)
- リスクと副作用
-
- 治療中は歯みがきしにくい箇所ができるため、虫歯や歯周病のリスクが高くなるので、念入りな歯みがきが必要になります。
- 初めて矯正装置を装着した時や調整した後は、疼痛や圧迫感などを感じることがあります。また、舌側矯正装置の場合は、治療当初は装置が舌にあたり、発音のしづらさや食べづらさなど感じることがあります。
- 歯並びを整え、咬み合わせを改善するために、やむを得ず健康な歯を抜くことがあります。
- 歯を動かす際に、歯根吸収や歯肉退縮が起こることがあります。
下顎前突治療例2
治療期間1年7か月 唇側矯正装置(下顎両側第一小臼歯抜歯)








治療の目安
- 主訴
- 受け口
- 診断名
- 下顎前突症
- 年齢
- 28歳 男性
- 治療に用いた主な装置
- マルチブラケット装置
- 抜歯部位
- 下顎両側第一小臼歯抜歯
- 治療期間
- 1年7か月/ 月に約1回の通院
- 治療費
- 約820,000円(税込)
- リスクと副作用
-
- 治療中は歯みがきしにくい箇所ができるため、虫歯や歯周病のリスクが高くなるので、念入りな歯みがきが必要になります。
- 初めて矯正装置を装着した時や調整した後は、疼痛や圧迫感などを感じることがあります。また、舌側矯正装置の場合は、治療当初は装置が舌にあたり、発音のしづらさや食べづらさなど感じることがあります。
- 歯並びを整え、咬み合わせを改善するために、やむを得ず健康な歯を抜くことがあります。
- 歯を動かす際に、歯根吸収や歯肉退縮が起こることがあります。
下顎前突治療例3
治療期間1年5か月 唇側矯正(非抜歯)








治療の目安
- 主訴
- 受け口
- 診断名
- 下顎前突
- 年齢
- 21歳 女性
- 治療に用いた主な装置
- マルチブラケット装置
- 抜歯部位
- 非抜歯
- 治療期間
- 1年7か月/ 月に約1回の通院
- 治療費
- 約820,000円(税込)
- リスクと副作用
-
- 治療中は歯みがきしにくい箇所ができるため、虫歯や歯周病のリスクが高くなるので、念入りな歯みがきが必要になります。
- 初めて矯正装置を装着した時や調整した後は、疼痛や圧迫感などを感じることがあります。また、舌側矯正装置の場合は、治療当初は装置が舌にあたり、発音のしづらさや食べづらさなど感じることがあります。
- 歯並びを整え、咬み合わせを改善するために、やむを得ず健康な歯を抜くことがあります。
- 歯を動かす際に、歯根吸収や歯肉退縮が起こることがあります。
参考→その他の下顎前突症(受け口)治療例1、2、3
NEXT→開咬の治療例
