HOME > 歯列矯正治療例 > 空隙歯列(すきっ歯、すきっぱ)
空隙歯列(すきっ歯、すきっぱ)
空隙歯列は歯の大きさに対して歯槽骨が大きいことによって歯列に隙間が生じている症状です。また、歯周病や加齢に伴う咬耗により咬合高径が減少した場合に、下顎前歯による上顎前歯の突き上げによって生じることもあります。
典型例では隙間分、前歯が前突していることが多く患者様の自覚症状としては前歯の隙間に加えて出っ歯であると感じていることが多いです。隙間が余っているので抜歯をするケースは比較的少なく、非抜歯で治療を行うことが多くなります。抜歯をするのは上下顎前歯が外側に極端に傾斜していて口唇の突出感を解消するために現状の空隙を利用するだけでは足りない場合です(上下顎前突症との合併症)。
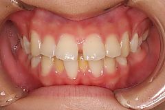
空隙歯列 治療期間1年3か月
使用装置:唇側矯正装置 非抜歯で治療を行いました








治療の目安
- 主訴
- すきっ歯が気になる
- 診断名
- 空隙歯列
- 年齢
- 32歳 女性
- 治療に用いた主な装置
- マルチブラケット装置
- 抜歯部位
- 非抜歯
- 治療期間
- 1年3か月/ 月に約1回の通院
- 治療費
- 約800,000円(税込)
- リスクと副作用
-
- 治療中は歯みがきしにくい箇所ができるため、虫歯や歯周病のリスクが高くなるので、念入りな歯みがきが必要になります。
- 初めて矯正装置を装着した時や調整した後は、疼痛や圧迫感などを感じることがあります。
- 歯並びを整え、咬み合わせを改善するために、やむを得ず健康な歯を抜くことがあります。
- 歯を動かす際に、歯根吸収や歯肉退縮が起こることがあります。
空隙歯列 治療期間1年8か月
唇側矯正装置 上下顎両側第一小臼歯抜歯
空隙歯列(すきっぱ)の治療で抜歯を行うことは少ないですが、本症例のように口唇の突出感が顕著な場合には抜歯治療を選択することもあります。抜歯をすることで前歯を後退させ口唇の突出感の改善をはかるのが目的です。










治療の目安
- 主訴
- すきっ歯が気になる
- 診断名
- 空隙歯列
- 年齢
- 16歳 女性
- 治療に用いた主な装置
- マルチブラケット装置
- 抜歯部位
- 上下顎両側第一小臼歯
- 治療期間
- 1年8か月/ 月に約1回の通院
- 治療費
- 約830,000円(税込)
- リスクと副作用
-
- 治療中は歯みがきしにくい箇所ができるため、虫歯や歯周病のリスクが高くなるので、念入りな歯みがきが必要になります。
- 初めて矯正装置を装着した時や調整した後は、疼痛や圧迫感などを感じることがあります。
- 歯並びを整え、咬み合わせを改善するために、やむを得ず健康な歯を抜くことがあります。
- 歯を動かす際に、歯根吸収や歯肉退縮が起こることがあります。
NEXT→その他治療例
