HOME > 矯正装置の種類 > 歯科矯正用アンカースクリューを用いた矯正治療
歯科矯正用アンカースクリューを用いた矯正治療
歯科矯正用アンカースクリューを用いた矯正

歯科矯正用アンカースクリューを併用した矯正は、従来の矯正治療では不可能だった歯の移動が可能になり治療期間の短縮も見込めます。
右の写真が歯科矯正用のアンカースクリューです。幅径は1.3mm~2mm程度、長さは6mm~10mm程度のものが使用頻度が高いです。
通常の矯正治療は歯と歯を引っ張り合うことで治療をおこないます。これは綱引きのようなものですからどうしても引っ張る側、引っ張られる側、双方の歯が移動してしまいます。矯正用のアンカースクリューを起点に歯を引っ張ると、動かしたい歯だけを選択的に動かすことができるので通常の矯正治療では困難な歯の移動が可能になるのです。また、多くの歯を同時に移動できるので治療期間の短縮にも寄与します。
当院では2007年から歯科矯正用アンカースクリューの臨床応用をはじめました。また、当院は全顎撮影可能なCT撮影装置を設置していますから歯の根の位置を正確に把握することができます。歯の周辺の骨の厚みだけでなく口蓋正中部などの骨の厚みも把握することができます。
*歯科矯正用アンカースクリューを用いた矯正は唇側矯正装置や舌側矯正装置に付加的に使用する装置です。通常の治療法よりも良好な結果が期待できる、治療期間の大幅な短縮が見込める等、使用するメリットのある患者様に対してだけ使用するものです。

歯科矯正用アンカースクリュー植立前のCT画像
CT撮影により口蓋骨の厚みの測定し、
適切な長さのアンカースクリューを選択します

歯科矯正用アンカースクリュー植立後のCT画像
前方に8mm、後方に10mmの
アンカースクリューを植立しました。
矯正用のアンカースクリュー植立手術について
- 植立に要する時間は麻酔をかける時間を除くと1本あたり頬側で1分程、舌側で3分程です。
- 植立後の痛みはほとんどありませんが、抗生物質と痛み止めを服用していただきます。患者様の多くは術直後に1度痛み止めを服用しますが、その後は服用していないようです(3日分処方はしています)。
- 歯科矯正用アンカースクリューを撤去する際は痛みが無いので通常は麻酔を行いません。
小さな歯科矯正用アンカースクリューといえど、初めて経験する患者様からすれば怖いのは当然(見た目もそれなりに痛そうですしね・・・。でも実際にやってみるとホントに大したことなかったと仰られる患者様がほとんどです)。
不安があればどんな些細なことでもご質問ください。
1・前歯の後退に矯正用アンカースクリューを使用した症例
唇側矯正装置との併用例です。上顎の前歯を後退させるために歯科矯正用アンカースクリューを使用しています。写真の黄色い丸で囲んだところにスクリュー(インプラント)を植立し、ワイヤーに装着した牽引用フックをエラスティックゴムで引っ張っています。
奥歯から前歯の牽引を行うと、前歯も後退しますが奥歯も手前に動いてしまいます。口唇の突出感が認められる場合には奥歯はなるべく手前に動かしたくないことが多いので、アンカースクリューから牽引することになります。また、治療後にはスクリューの跡はほとんど残りません。
- 簡単な手術ですが、抗生物質と痛み止めを服用していただきます。患者様の多くは術直後に1度痛み止めを服用します。
- 稀にスクリュー(インプラント)が固定されず、植立し直す場合があります。


治療の目安
- 主訴
- 八重歯が気になる
- 診断名
- Angle1級叢生
- 年齢
- 26歳 女性
- 治療に用いた主な装置
- マルチブラケット矯正装置・歯科矯正用アンカースクリュー
- 抜歯部位
- 上下顎両側第一小臼歯
- 治療期間
- 1年11か月 / 月に約1回の通院
- 治療費
- 唇側矯正治療 約900,000円(税込)
- リスクと副作用
-
- 簡単な手術ですが、抗生物質と痛み止めを服用していただきます。患者様の多くは術直後に1度痛み止めを服用します。
- 稀にスクリュー(インプラント)が固定されず、植立し直す場合があります。
舌側矯正装置での使用例です。黄色い丸で囲んだ矯正用のアンカースクリュー(インプラント)からワイヤーに装着した牽引用フックにエラスティックゴムをかけています。治療終了後の写真をご覧いただければスクリューの跡は全く無くなっていることがわかります。


治療の目安
- 主訴
- 前歯が前に出ている
- 診断名
- 上顎前突
- 年齢
- 19歳 女性
- 治療に用いた主な装置
- 舌側矯正装置(上顎)、唇側矯正装置(下顎)、歯科矯正用アンカースクリュー
- 抜歯部位
- 上顎両側第一小臼歯
- 治療期間
- 2年6か月/月に約1回の通院
- 治療費
- 約128万円
- リスクと副作用
-
- 簡単な手術ですが、抗生物質と痛み止めを服用していただきます。患者様の多くは術直後に1度痛み止めを服用します。
- 稀にスクリュー(インプラント)が固定されず、植立し直す場合があります。
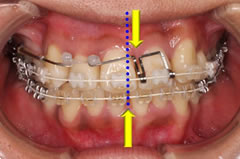
2・上下顎の真ん中を合わせるために使用する
歯科矯正用アンカースクリュー使用開始時
下顎の正中がずれているので下顎左側に2本の矯正用のアンカースクリュー(インプラント)を植立して上顎の正中にあわせていくことにしました。 黄色い丸で囲んだスクリューに牽引用のアームを装着し、下顎の前歯を左(写真では右)に移動します。


治療経過
上下顎の正中がだいぶ合ってきました。


治療終了時
上下顎の正中が一致しました


治療の目安
- 主訴
- 前歯の凸凹、上下の真ん中がずれている
- 診断名
- 叢生
- 年齢
- 27歳 女性
- 治療に用いた主な装置
- 唇側矯正装置、歯科矯正用アンカースクリュー
- 抜歯部位
- 上顎両側第一小臼歯、下顎両側第二小臼歯
- 治療期間
- 2年8か月 / 月に約1回の通院
- 治療費
- 約95万円
- リスクと副作用
-
- 簡単な手術ですが、抗生物質と痛み止めを服用していただきます。患者様の多くは術直後に1度痛み止めを服用します。
- 稀にスクリュー(インプラント)が固定されず、植立し直す場合があります。
歯科矯正用アンカースクリュー使用開始時
上顎左側側切歯が先天欠如していたため上顎の正中が左側に偏位していました。下顎の正中が顔の正中に一致している状況です。このため上顎の正中を下顎の正中に一致させるため矯正用のアンカースクリューを使用しました。上顎右側大臼歯部に矯正用アンカースクリューを2本植立し、そこからアームを伸ばして上顎前歯を右側に牽引します。


治療経過
だいぶ合ってきました。


治療終了時
上下顎の正中が一致しました。スクリューの跡はまったくわかりません。


治療の目安
- 主訴
- 出っ歯
- 診断名
- 上下顎前突症
- 年齢
- 23歳 女性
- 治療に用いた主な装置
- 唇側矯正装置 歯科矯正用アンカースクリュー
- 抜歯部位
- 上下顎両側第一小臼歯
- 治療期間
- 2年0か月 / 月に約1回の通院
- 治療費
- 約90万円
- リスクと副作用
-
- 簡単な手術ですが、抗生物質と痛み止めを服用していただきます。患者様の多くは術直後に1度痛み止めを服用します。
- 稀にスクリュー(インプラント)が固定されず、植立し直す場合があります。
3・ガミースマイル(笑ったときに歯茎が過度に露出する)の改善
歯科矯正用アンカースクリュー使用開始時
笑ったときに歯茎が見え過ぎるのを改善するために、上顎前歯上方に矯正用アンカースクリューを植立し、上顎前歯を上方に牽引しました。

治療経過
矯正用のアンカースクリューの位置は変化しませんから、上顎前歯が上方に移動したことがわかります。 その結果、笑ったときに露出する歯茎も減少しました。

治療の目安
- 主訴
- 前歯が出ているのが気になる
- 診断名
- 上下顎前突症
- 年齢
- 23歳 女性
- 治療に用いた主な装置
- マルチブラケット矯正装置・歯科矯正用アンカースクリュー
- 抜歯部位
- 上下顎両側第一小臼歯
- 治療期間
- 2年0か月 / 月に約1回の通院
- 治療費
- 約900,000円(税込)
- リスクと副作用
-
- 簡単な手術ですが、抗生物質と痛み止めを服用していただきます。患者様の多くは術直後に1度痛み止めを服用します。
- 稀にスクリュー(インプラント)が固定されず、植立し直す場合があります。
4・交叉咬合の治療に使用する
歯科矯正用アンカースクリューを併用した矯正治療前
黄色い円で囲んだ上顎の大臼歯が外側に位置しているため下顎の歯とかみ合っていません(鋏状咬合、シザーズバイトといいます)。 そこで矯正用のアンカースクリューを使用し、黄色い円で囲んだ歯を内側に移動させることにしました。


治療経過
矯正用のアンカースクリュー(インプラント)は上顎の口蓋正中に植立しました。スクリューからアームを伸ばし、歯に接着した金具からエラスティックゴムで引っ張っています。


治療終了時
治療終了時 矯正装置撤去と同時にスクリューの撤去も行いました。撤去に際しては麻酔の必要はありません(痛ければ麻酔しますが、今までそういうことはありませんでした)。傷は1週間ほどで跡形もなく治癒します。移動した歯の後方にある親知らずは時期をみて抜歯する予定です。


治療の目安
- 主訴
- 前歯の凸凹
- 診断名
- 叢生
- 年齢
- 22歳 女性
- 治療に用いた主な装置
- 唇側矯正装置、歯科矯正用アンカースクリュー
- 抜歯部位
- 上下顎両側第一小臼歯
- 治療期間
- 1年11か月 / 月に約1回の通院
- 治療費
- 約90万円
- リスクと副作用
-
- 簡単な手術ですが、抗生物質と痛み止めを服用していただきます。患者様の多くは術直後に1度痛み止めを服用します。
- 稀にスクリュー(インプラント)が固定されず、植立し直す場合があります。
5・歯科矯正用アンカースクリューを用いた矯正治療の症例(その他治療例より)
叢生16(上下顎左右側非対称の抜歯部位を選択した叢生の治療例)
NEXT→その他の矯正装置
