成人の叢生2(唇側矯正装置、非抜歯)

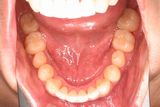
初診時口腔内写真




歯の凸凹を気にされての来院です。上顎右側の小臼歯が一本欠如していました(先天的欠如なのか抜歯したのかは問診からは判断できませんでした)。上顎の凸凹よりも下顎の凸凹の方が酷く、かつ上顎の歯が一本少ないので、下顎の右側大臼歯の後方移動+下顎切歯を僅かに削合することにより叢生改善のためのスペースを獲得することにしました。

治療終了時口腔内写真




治療期間は24ヵ月でした。一般的に、大臼歯の後方移動を伴う治療には時間がかかります。この症例でも下顎の右側第一小臼歯を抜歯する治療を選択すれば6ヵ月程度は治療期間を短縮することが可能だったと思いますが、そのほうが良い治療なのかどうかはまた別問題で、この辺りが「矯正治療の方針にはある程度の幅が存在する」ということの理由の一つです。
また、この症例では下顎大臼歯の後方移動を顎間ゴムで行いましたがもし今この症例を治療するならば歯科矯正用アンカースクリュー(ミニインプラント)を使用すると思います。矯正用アンカースクリューの利点は患者様の協力度に関わらず、確実に歯を移動させることができることです。顎間ゴムのように取り外しができる装置だと患者様の使用時間によって治療効果に幅が生じてしまいますが、アンカースクリューであれば治療効果も安定しますし食事のたびに付けたり外したりといった煩わしさもありません。
治療の目安
- 主訴
- 歯の凸凹
- 診断名
- 叢生(でこぼこ、凸凹、乱くい歯)
- 年齢
- 26歳 男性
- 治療に用いた主な装置
- マルチブラケット装置
- 抜歯部位
- 非抜歯
- 治療期間
- 24ヵ月 / 月に約1回の通院
- 治療費
- 約830,000円(税込)
- リスクと副作用
-
- 治療中は歯みがきしにくい箇所ができるため、虫歯や歯周病のリスクが高くなるので、念入りな歯みがきが必要になります。
- 初めて矯正装置を装着した時や調整した後は、疼痛や圧迫感などを感じることがあります。
- 歯並びを整え、咬み合わせを改善するために、やむを得ず健康な歯を抜くことがあります。
- 歯を動かす際に、歯根吸収や歯肉退縮が起こることがあります。
- リテーナー(保定装置)を適切に使用しない場合は、後戻りすることがあります。
NEXT→CASE4下顎前突1(唇側矯正装置、抜歯)
