成人の叢生3(唇側矯正装置、抜歯)

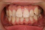
初診時正面

初診時上顎

初診時下顎
成人女性の患者様。上下の歯の凸凹と口唇の突出感を気にされての来院でした。全身状態は健康で、やや虫歯の治療痕が多いですが口腔衛生状態は良好、歯周組織の状況にも特筆すべき所見は認められませんでした。
下顎の前歯が1本先天的に欠如しています(3incisors)。もし、3incisorsでなければ上下顎第一小臼歯4本を抜歯する症状ですが、左右対称にするために変則的ではありますが上顎左右側の第一小臼歯と下顎右側側切歯を抜歯部位として選択しました。矯正装置は唇側矯正装置、セラミックブラケットです。

治療開始16ヵ月正面

治療開始16ヵ月上顎

治療開始16ヵ月下顎
治療開始16ヶ月目の口腔内写真。叢生はほぼ改善されています。あとは上顎の前歯を後退させて口元の突出感の改善をはかるだけです。正面の写真から下顎のワイヤーがL字型に屈曲されていることがわかります。これをループといいます。主に隙間を閉じる際に屈曲することが多いですが、ループの下は虫歯になりやすいので注意深く歯磨きをお願いいたします。

終了時正面

終了時上顎

終了時下顎
治療期間は21ヵ月でした。本症例は歯の形態のバランスがとても良く見栄えがします。女性の歯にしてはやや男性的な特徴を強く持っているといってもいいかもしれません。女性と男性の歯の形態を比較すると女性の方が男性よりも丸みを帯びていることが多いです。男性の歯は角ばった形態をしていることが多いです。全身骨格とも共通しているようにも感じられますから、これも人類の進化の結果なのでしょうか。なお、Case4は上顎両側側切歯が先天欠如の症例でしたが、この症例は結果的に下顎側切歯の代わりに犬歯が位置しています。
治療の目安
- 主訴
- 上下の歯の凸凹と口唇の突出感
- 診断名
- 叢生(でこぼこ、乱くい歯)
- 年齢
- 成人女性
- 治療に用いた主な装置
- マルチブラケット装置
- 抜歯部位
- 上顎両側第一小臼歯、下顎右側側切歯
- 治療期間
- 1年9か月 / 月に約1回の通院
- 治療費
- 約850,000円(税込)
- リスクと副作用
-
- 治療中は歯みがきしにくい箇所ができるため、虫歯や歯周病のリスクが高くなるので、念入りな歯みがきが必要になります。
- 初めて矯正装置を装着した時や調整した後は、疼痛や圧迫感などを感じることがあります。
- 歯並びを整え、咬み合わせを改善するために、やむを得ず健康な歯を抜くことがあります。
- 歯を動かす際に、歯根吸収や歯肉退縮が起こることがあります。
- リテーナー(保定装置)を適切に使用しない場合は、後戻りすることがあります。
NEXT→CASE6上顎前突2(マウスピース型矯正装置「クリアアライナー」、非抜歯)
