成人の上顎前突3(舌側矯正装置+歯科矯正用アンカースクリュー、抜歯)

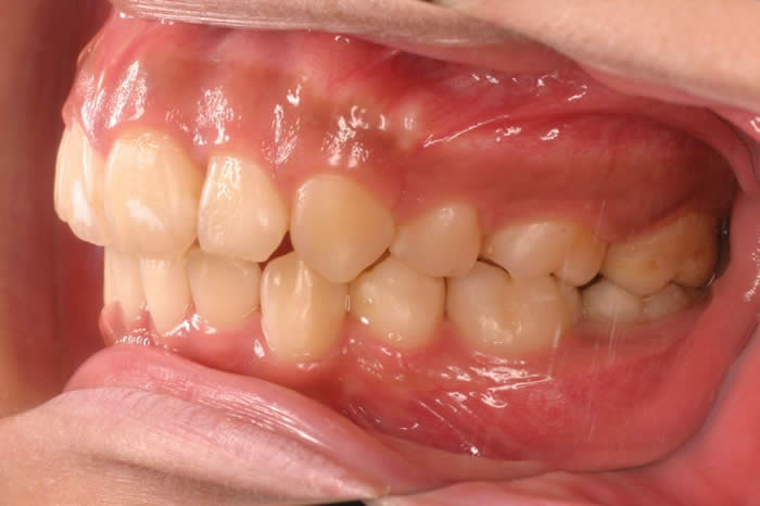
初診時正面

初診時上顎

初診時右側面

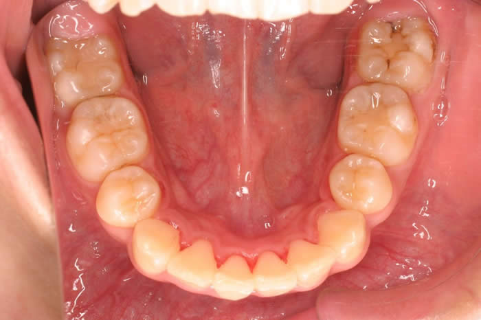
初診時下顎
初診時の口腔内写真です。重度の上顎前突症と叢生の合併症です。下顎をみると左側の第一小臼歯と右側側切歯が完全に歯列から逸脱し、上顎の前歯は下顎の前歯より1cm以上前突しています。
上顎両側の第一小臼歯と下顎両側の第一小臼歯を抜歯(合計4本)し、さらに、効果的に上顎前歯の後退をはかるため上顎口蓋側臼歯部に固定源のための歯科矯正用アンカースクリューを植立することにしました。

治療開始12ヵ月後正面

治療開始12ヵ月後上顎

治療開始12ヵ月後右側面

治療開始12ヵ月後下顎
治療開始12ヶ月後の口腔内写真です。上顎は歯科矯正用アンカースクリューを固定源として前歯部を後方に牽引しています。下顎は若干残ったスペースを閉じています。またトランスパラタルバー、顎間ゴムも使用しています。
本症例では上顎第一大臼歯と第二大臼歯の口蓋側歯根間にアンカースクリューを植立していますが、現在は口蓋正中に2本植立し、そこからパラタルアームを延長して固定源として使用することが多いです。
理由は口蓋粘膜は厚みがある部分が多いことが第一です。3mm程度なら良いのですが5mmを超える厚みのある患者様も多く、そうなると長径10mmのアンカースクリューを植立しても骨中に埋入されているアンカースクリューは5mmと全長の半分でしかなく脱落の確率が高くなります。
その点、口蓋正中は粘膜の厚みが1~2mmであることがほとんどです。また、皮質骨の厚みも口腔内からアンカースクリューを植立可能な部分では最も厚く、植立に有利な条件が揃っています。特に本症例のように口蓋正中部に骨隆起を認める患者様においては皮質骨が極めて厚く、安心してアンカースクリューを植立することができます。
本症例の治療開始時には口蓋正中部へのアンカースクリュー植立がそれほど一般的ではなかったため歯根間に植立していますが、安定しており、前歯部後方牽引の固定源として利用可能な状況を保っています。

終了時正面

終了時上顎

終了時右側面

終了時下顎
治療期間は23か月でした。他院からの紹介でしたが、初診時は上顎左側第二大臼歯に大きな虫歯があるなど口腔衛生環境が良好とはいえず、症状的にも難症例でした。しかしながら患者様の治療に対する協力度は極めて良好で、予定より早く治療を終了することができました。
歯並びが良くなっていく過程が楽しみだったようで、治療期間中、次第に口腔衛生状況も良くなってきました。やはり、治療を早期に終了させるにはご自身の口腔内に関心を持つことと、付随して口腔衛生状態を良好に保つ(=歯磨きをしっかり頑張る)ことがとても重要なことです。口元の突出感の改善も相当なもので患者様は「表情が変わった!」ととても喜んでくださいました。
治療の目安
- 主訴
- 出っ歯、歯のデコボコ
- 診断名
- 上顎前突
- 年齢
- 22歳 女性
- 治療に用いた主な装置
- リンガルブラケット矯正装置、歯科矯正用アンカースクリュー
- 抜歯部位
- 上下顎両側第一小臼歯
- 治療期間
- 23か月/ 月に約1回の通院
- 治療費
- 約1,360,000円(税込)
- リスクと副作用
-
- 治療中は歯みがきしにくい箇所ができるため、虫歯や歯周病のリスクが高くなるので、念入りな歯みがきが必要になります。
- 初めて矯正装置を装着した時や調整した後は、疼痛や圧迫感などを感じることがあります。
- また、治療当初は装置が舌にあたり、発音のしづらさや食べづらさなど感じることがあります。
- 歯並びを整え、咬み合わせを改善するために、やむを得ず健康な歯を抜くことがあります。
- 歯を動かす際に、歯根吸収や歯肉退縮が起こることがあります。
NEXT→CASE9下顎前突2(マウスピース型カスタムメイド矯正装置「インビザライン」、非抜歯)
