下顎前突治療例5(唇側矯正装置、上下顎両側第一小臼歯抜歯)
症状
下顎中切歯が上顎中切歯よりも前に位置しているため下顎前突といえますが、骨格性の下顎前突傾向を有しているわけではなく、あくまで歯の傾きによる下顎前突(歯性の下顎前突症)です。横から見たときに上顎前歯が若干舌側に傾斜しています。
この症例で特徴的なのはとにかく歯と歯槽骨の大きさの不調和が大きいことです。ほとんどの症例において、上下顎両側の第一小臼歯を抜歯すれば叢生改善に必要なスペースが得られるのですが、この症例ではそれだけでは賄いきれませんでした。上下顎両側それぞれ15mm前後のスペースが不足しています。長いことこの仕事に携わってきましたが、ここまでの凸凹というのもあまりみる機会がありません。
上顎両側犬歯の低位唇側転位(八重歯)、上顎両側側切歯の舌側転位、下顎左側犬歯の低位唇側転位、下顎両側側切歯の舌側転位が認められます。また、歯磨きがしにくいのでしょうか、治療前の口腔内写真をみると上顎中切歯付近の歯肉に炎症が認められます(歯肉炎)。
治療
叢生改善のスペースを確保するために上下顎両側の第一小臼歯(前から数えて4番目の歯、犬歯の後ろ)を抜歯することにしました。ただ、これだけでは叢生改善に必要なスペース量を賄えないため、不足分は上下顎前歯の唇側傾斜(歯列の拡大)することで補うことにしました。上顎には固定源としてホールディングアーチを装着しました。
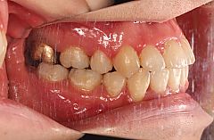
治療期間は24か月間でした。治療後の写真を見ると上顎前歯部の発赤が緩和され、ピンク色に変化しています(健康な歯肉はピンク色です)歯肉炎が改善されていることが分かります。この写真は矯正装置撤去直後の写真ですから今後はもっと良くなることが期待できます。








治療の目安
- 主訴
- 歯のデコボコ、受け口
- 診断名
- 重度叢生を伴う歯性の下顎前突
- 年齢
- 30歳 女性
- 治療に用いた主な装置
- マルチブラケット装置、ホールディングアーチ
- 抜歯部位
- 上下顎両側第一小臼歯
- 治療期間
- 24か月 / 月に約1回の通院
- 治療費
- 約850,000円(税込)
- リスクと副作用
- 
- 治療中は歯みがきしにくい箇所ができるため、虫歯や歯周病のリスクが高くなるので、念入りな歯みがきが必要になります。
- 初めて矯正装置を装着した時や調整した後は、疼痛や圧迫感などを感じることがあります。
- 歯並びを整え、咬み合わせを改善するために、やむを得ず健康な歯を抜くことがあります。
- 歯を動かす際に、歯根吸収や歯肉退縮が起こることがあります。
- ホールディングアーチなど舌側に装置を装着すると慣れるまで話しずらさを感じることがあります。
 
NEXT→CASE21叢生9(唇側矯正装置、非抜歯)

