叢生治療例15(裏側からの矯正、舌側矯正、ハーフリンガル 非抜歯)
症状
主訴は前歯の凸凹です。
この症例は奥歯の咬み合せが僅かに上顎前突気味でもあったため抜歯をせずに治療すると上の前歯と下の前歯が咬み合わないことが予測されました。上顎左右第一小臼歯を抜歯するか否かのボーダーラインケースですが、抜歯を選択するには本当に僅かな上顎前突だったので、歯科矯正用アンカースクリュー(ミニインプラント)を使用して上顎歯列全体を後方移動する方法を選択、非抜歯で治療を行うことにしました。
治療
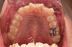
使用装置は、上顎に舌側矯正装置「ハーモニーブラケット」、下顎は唇側矯正装置です。ハーモニーブラケットはセルフライゲーションタイプの舌側矯正装置です。「インコグニト」や「インビザライン」もそうですが、最近の矯正装置はコンピューターシミュレーション技術をもとに作製されることが多くなりました。ブラケットは患者様の歯の形態に合わせたカスタムメイドです。また、ワイヤーも患者様の歯列形態に合わせてベンディングロボットによって屈曲されたものが納品されます。治療中の上顎歯列の写真を見るとワイヤーが非常に細かく屈曲されています。
歯科矯正用アンカースクリューは口蓋正中部に2本植立しました(治療後の上顎歯列写真にあるのは撤去したアンカースクリューの撤去痕です。矯正用のアンカースクリューの撤去は通常は麻酔をせずに行うことが可能です。撤去痕は口腔内でもあり数日で治癒します)。
治療は順調に経過し、治療期間は17か月でした。









治療の目安
- 主訴
- 前歯の凸凹
- 診断名
- 叢生
- 年齢
- 成人女性
- 治療に用いた主な装置
- 上顎:カスタムメイド型リンガルブラケット矯正装置(ハーモニー)、下顎:マルチブラケット装置、歯科矯正用アンカースクリュー
- 抜歯部位
- 非抜歯
- 治療期間
- 17か月 / 月に約1回の通院
- 治療費
- 約1,230,000円(税込)
- リスクと副作用
-
- 治療中は歯みがきしにくい箇所ができるため、虫歯や歯周病のリスクが高くなるので、念入りな歯みがきが必要になります。
- 初めて矯正装置を装着した時や調整した後は、疼痛や圧迫感などを感じることがあります。
- また、治療当初は装置が舌にあたり、発音のしづらさや食べづらさなど感じることがあります。
- 歯並びを整え、咬み合わせを改善するために、やむを得ず健康な歯を抜くことがあります。
- 歯を動かす際に、歯根吸収や歯肉退縮が起こることがあります。
カスタムメイド型リンガルブラケット矯正装置「ハーモニー」について
- リンガルブラケット矯正装置「ハーモニー」は、日本国内では医薬品医療機器等法(薬機法)の承認を受けていない未承認の医療機器です。
- 日本国内にて製造され、製造元の株式会社アソインターナショナルから入手しています。
- 日本国内において医薬品医療機器等法(薬機法)の承認を受けている同様の医療機器は存在します。
- 諸外国における安全性に係る情報は現在ありません。
- 日本では完成物薬機法未承認の矯正歯科装置であり、医薬品副作用被害救済制度の対象外となる場合があります。
NEXT→CASE30叢生14(マウスピース型矯正装置「インビザライン」、非抜歯)
