叢生治療例16(唇側矯正、表側矯正、歯科矯正用アンカースクリュー併用、抜歯)
症状
主訴は前歯の凸凹(でこぼこ)です。前歯の凸凹のことを専門用語では叢生(そうせい)といいます。
この症例の場合、歯を並べるために不足しているスペースの量はそれほど多いわけではなく、歯を配列するだけであれば抜歯をせずに治療することも可能ですが、口唇の突出感も認められたため患者様と相談の上、抜歯をして矯正治療を行うことにしました。
治療
治療計画を立てる際に悩んだのが抜歯部位でした。矯正治療を行う際に最も多く選択される抜歯部位は第一小臼歯(前から数えて4番目の歯、犬歯の後ろの歯)です。これは前歯の凸凹に近い部位を抜歯したほうが治療期間が短く済むということでもありますし、咀嚼機能上の問題を考えてという側面もあります。
この症例でも上下顎両側の第一小臼歯抜歯が候補として考えられますが、上顎左側の第二小臼歯と下顎右側の第二小臼歯にフルクラウン(補綴物)が装着されています。いずれも失活歯(神経が死んでいる歯)でした。
ただ、それを選択すると上下顎ともに左右非対称の抜歯部位となるため治療の難易度が上がり治療期間が長くなります。それで悩んだのですが患者様が歯科衛生士だったこともあり治療期間が長くなることと、左右非対称の力系を補正するために歯科矯正用アンカースクリュー(ミニインプラント)を使用することの了承を得ましたので上顎左側第二小臼歯(5番)、上顎右側第一小臼歯(4番)、下顎左側第一小臼歯(4番)、下顎右側第二小臼歯(5番)抜歯という上下顎左右で非対称な抜歯部位を選択して治療を開始しました。
左右非対称の抜歯部位を選択したことによる固定源歯数の違いを補正するために5本の矯正用アンカースクリューを植立しました。上下顎第一小臼歯を抜歯し、左右対称の力系を組むことができれば本症例ではアンカースクリューは必要ありませんでした。
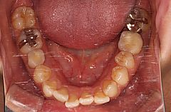
治療中の写真は正中のずれを補正するために下顎左側臼歯部にアンカースクリューを2本植立し、下顎正中を左側に移動しているところです。正中補正の方法も様々ありますが、患者様がアンカースクリューの植立に同意してくださるのであればこれが最も効率的な方法だと思います。
治療期間は2年9か月。時間はかかってしまいましたが健全歯を抜歯せずに治療できましたから長い目で考えれば良かったといえるでしょう。









治療の目安
- 主訴
- 前歯の凸凹(でこぼこ)
- 診断名
- 叢生
- 年齢
- 25歳 女性
- 治療に用いた主な装置
- マルチブラケット装置、歯科矯正用アンカースクリュー
- 抜歯部位
- 上下顎両側第一小臼歯
- 治療期間
- 2年9か月 / 月に約1回の通院
- 治療費
- 約950,000円(税込)
- リスクと副作用
-
- 治療中は歯みがきしにくい箇所ができるため、虫歯や歯周病のリスクが高くなるので、念入りな歯みがきが必要になります。
- 初めて矯正装置を装着した時や調整した後は、疼痛や圧迫感などを感じることがあります。
- 歯並びを整え、咬み合わせを改善するために、やむを得ず健康な歯を抜くことがあります。
- 歯を動かす際に、歯根吸収や歯肉退縮が起こることがあります。
NEXT→CASE31叢生15(舌側矯正装置、非抜歯)
