小児矯正2(埋伏歯を有する小児の下顎前突症の治療例)
症状・治療方針・治療
初診時年齢:9歳
性別:男性
症状・治療方針
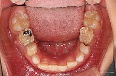
前歯部反対咬合であるものの検査の結果、骨格的な要因の小さな反対咬合でした(前歯の傾きによる反対咬合=歯性の反対咬合)。また、虫歯が非常に多く、上顎左側第二乳臼歯の早期喪失により上顎左側第一大臼歯が手前に移動した結果、上顎左側第二小臼歯の埋伏をきたしていました。
上顎に唇側矯正装置(部分矯正=セクショナルアーチ)、固定源としてリンガルアーチを使用し上顎左側第二小臼歯の萌出スペースを確保することを第一目標とし、上顎左側第一大臼歯の後方移動の反作用として、上顎前歯部の唇側傾斜による反対咬合の改善を期待し治療を開始しました。
治療器具:唇側矯正装置(セクショナルアーチ)、リンガルアーチ
治療経過
1・リンガルアーチ、セクショナルアーチを装着し、上顎左側第一大臼歯、第一小臼歯間にオープンコイルを装着
2・4か月後、上顎前歯部にブラケットを装着し上顎前歯の配列とともに唇側傾斜をはかりました
3・12か月後、上顎左側第二小臼歯が萌出。捻転していたためリンガルボタンを装着し捻転の改善をはかりました
4・16か月後、装置を撤去し、第一期治療を終了しました
第一期治療の治療期間:1年4か月
コメント
この症例のように乳歯列期に虫歯が多く、乳歯を早期に喪失すると後方の永久歯が手前に移動してきて後継永久歯の萌出スペースが失われることがあります。
乳歯には「後継永久歯の萌出スペースを確保する」という大切な役割もあるため安易に「乳歯だから虫歯になっても構わない」と考えるのはよくありません。もしも一般的な脱落時期よりも早期に乳歯が脱落した場合にはスペースを確保するための矯正装置を装着するなどの必要が生じることもありますのでかかりつけの歯科医師に相談することをお勧めします。













治療前レントゲン

治療後レントゲン
治療の目安
- 主訴
- 受け口
- 診断名
- 歯性の下顎前突症
- 年齢
- 9歳
- 治療に用いた主な装置
- セクショナルアーチ(部分的な唇側矯正装置)、リンガルアーチ
- 抜歯部位
- 非抜歯
- 治療期間
- 1年4か月 / 月に約1回の通院
- 治療費
- 第一期矯正治療 約390,000円(税込)
- リスクと副作用
- 
- 治療中は歯みがきしにくい箇所ができるため、虫歯や歯周病のリスクが高くなるので、念入りな歯みがきが必要になります。
- 初めて矯正装置を装着した時や調整した後は、疼痛や圧迫感などを感じることがあります。
- 着脱可能な装置を使用する際は、適切な装着時間を守らないと歯が動かず、治療期間も延長します。
- 歯並びを整え、咬み合わせを改善するために、やむを得ず健康な歯を抜くことがあります。
- 歯を動かす際に、歯根吸収や歯肉退縮が起こることがあります。
 
NEXT→CASE44上下顎前突2へ

