下顎前突治療例7(下顎左右側第一小臼歯、唇側の矯正装置)
初診時年齢:25歳
性別:女性
症状
骨格性下顎前突症。下顎歯列弓が上顎歯列弓に対して小臼歯1歯分前方位にある。上顎中切歯間に僅かな空隙を認めます。
治療方針
外科矯正治療も考慮される症状でしたが、患者様が手術を望んでおらず、また、矯正治療単独でも咬合の改善は可能と判断し、下顎両側の第一小臼歯を抜歯して骨格的な問題をカムフラージュすることにしました。
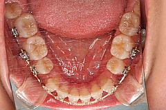
治療器具
マルチブラケット矯正装置(ピーチゴールドワイヤー)
治療期間:1年5か月
コメント
本症例は小臼歯1歯分下顎歯列弓が上顎歯列弓に対して前方位にあります。小臼歯1歯分以上の前方位になると下顎小臼歯を2本抜歯しなければならないため通常は外科手術を併用した矯正治療を選択することが多くなります。
本症例は外科矯正とのボーダーラインケースといえます。顎間ゴムの使用状況や口腔衛生状況など、患者様の協力も良好で2年を予定していた治療期間も1年5か月で済みました。












治療の目安
- 主訴
- 前歯で咬みきれない
- 診断名
- 骨格性下顎前突症
- 年齢
- 25歳 女性
- 治療に用いた主な装置
- マルチブラケット装置
- 抜歯部位
- 上下顎両側第一小臼歯
- 治療期間
- 1年5か月 / 月に約1回の通院
- 治療費
- 約810,000円(税込)
- リスクと副作用
-
- 治療中は歯みがきしにくい箇所ができるため、虫歯や歯周病のリスクが高くなるので、念入りな歯みがきが必要になります。
- 初めて矯正装置を装着した時や調整した後は、疼痛や圧迫感などを感じることがあります。
- 歯並びを整え、咬み合わせを改善するために、やむを得ず健康な歯を抜くことがあります。
- 歯を動かす際に、歯根吸収や歯肉退縮が起こることがあります。
- 矯正治療の成功には患者様の協力が必要です。顎間ゴムなどの使用状況が良好でないと当初期待していた治療結果が得られないことがあります。着脱可能な装置は歯科医師の指示通りに使用していただきますようお願いいたします。
NEXT→CASE43叢生22(マウスピース型矯正装置「インビザライン」による叢生治療例)
