下顎前突治療例8(下顎両側第一小臼歯抜歯、唇側矯正装置)
症状・治療方針・治療
初診時年齢:28歳
性別:男性
主訴:反対咬合
症状・治療方針
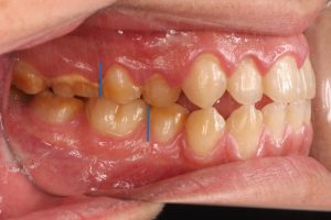
上顎歯列正中に対して下顎歯列正中が左側に偏位置しています。また、左側大臼歯部が反対咬合になっている部分もあります。顔貌所見では僅かに下顎の左側への偏位も認められ顎変形症と診断しました。
外科手術を併用した矯正治療も提案しましたが、患者様は顎離断手術までは希望されておらず、矯正治療単独で治療することにしました。
本来は顎変形症として外科手術を併用した矯正治療が第一選択となる症例を矯正治療単独で治療する場合、上下顎骨の大きさの不調和やゆがみを歯の移動でカムフラージュすることになるため、難易度は外科矯正で行う場合と比較して高くなります。












治療について
下顎右側臼歯部の後方移動および下顎歯列を全体的に右側へ移動するために下顎右側臼歯部に牽引用の歯科矯正用アンカースクリューを2本植立しました。
また、上顎歯列を全体的に左側に移動するために上顎左側臼歯部にもアンカースクリューを2本植立しています。
青線で示したように治療前後で上下顎の正中線が改善しています。また、下顎右側臼歯部が後方移動したため右側臼歯の咬合も改善しています。ただし、矯正単独で治療した場合は顎のゆがみは改善しませんので、顔貌の改善を期待する場合は外科矯正が必要です。
治療の目安
- 主訴
- 反対咬合が気になる
- 診断名
- 下顎前突症
- 年齢
- 28歳 男性
- 治療に用いた主な装置
- 唇側矯正装置、歯科矯正用アンカースクリュー
- 抜歯部位
- 非抜歯
- 治療期間
- 16か月 / 月に約1回の通院
- 治療費
- 約900,000円(税込)
- リスクと副作用
-
- 治療中は歯みがきしにくい箇所ができるため、虫歯や歯周病のリスクが高くなるので、念入りな歯みがきが必要になります。
- 初めて矯正装置を装着した時や調整した後は、疼痛や圧迫感などを感じることがあります。
- また、治療当初は装置が舌にあたり、発音のしづらさや食べづらさなど感じることがあります。
- 歯並びを整え、咬み合わせを改善するために、やむを得ず健康な歯を抜くことがあります。
- 歯を動かす際に、歯根吸収や歯肉退縮が起こることがあります。
- 歯科矯正用アンカースクリューは脱落することがあります。
- 矯正治療単独で治療を行う場合、顎のゆがみの改善はあまり期待できません
