埋伏歯の矯正治療例1
症状・治療方針・治療
初診時年齢:17歳
性別:男性
主訴:上顎右側犬歯が生えてこない
症状・治療方針
患者様は近隣の歯科医院にて埋伏歯の存在を指摘され来院されました。
視診にて上顎右側犬歯が萌出していないことを確認し、パノラマレントゲン撮影を行いました。
パノラマレントゲン写真から犬歯が側切歯歯根に近接して埋伏していることが確認できました。このようなケースでは側切歯歯根が埋伏歯により吸収していることがあります。そこでより正確な位置関係を把握するためにCT撮影を行いました。


パノラマレントゲン写真と比較すると立体的な位置関係把握にCTがいかに有用かご理解いただけると思います。CT撮影の結果、側切歯の歯根吸収は認められませんでした。
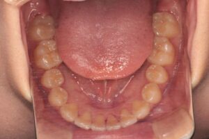
口腔内所見としては上下顎前歯部の叢生も認められますが、非抜歯での治療が可能であると判断しました。
治療中の口腔内写真では埋伏犬歯を牽引する部位にオープンコイルを装着し牽引スペースを確保しつつ、埋伏犬歯は開窓手術後、ボタンを装着して牽引しているところです。












治療について
埋伏歯を矯正治療で牽引する際の留意点としては
1・埋伏歯が骨性癒着(アンキローシス)していて動かない可能性があります。確率としては低いですが年齢が上がるほど骨性癒着の可能性は高まります。また、歯根膜の一部分だけ癒着していても動かないのでレントゲンやCT撮影で事前に把握することは困難です。
2・埋伏歯を牽引する際、可働粘膜域から牽引することが多いので歯肉形態が正常に角化歯肉から萌出した歯と異なることが多いです(歯肉退縮していることが多いです)。
治療結果
治療後のパノラマレントゲン画像です。
歯根の平行性も良好です。口腔内写真から前歯部叢生も改善したことがわかります。反省点というか、惜しいと思うのは正中線を合わせる時間がなかったことでしょうか。治療期間は1年6か月でしたから、あと6か月ほど時間があれば合わせられたと思うのですがこの辺りは患者様のご希望との擦り合わせの部分もあって難しいところです。もし時間的余裕があれば顎間ゴムと併用して下顎左側部に歯科矯正用アンカースクリューを植立して下顎正中を左側に移動したと思います。
治療の目安
- 主訴
- 上顎右側犬歯が生えてこない
- 診断名
- 上顎右側犬歯埋伏を伴うAngleⅠ級叢生
- 年齢
- 17歳 男性
- 治療に用いた主な装置
- 唇側矯正装置
- 抜歯部位
- 非抜歯
- 治療期間
- 18か月 / 月に約1回の通院
- 治療費
- 約750,000円(税込)
- リスクと副作用
-
- 治療中は歯みがきしにくい箇所ができるため、虫歯や歯周病のリスクが高くなるので、念入りな歯みがきが必要になります。
- 初めて矯正装置を装着した時や調整した後は、疼痛や圧迫感などを感じることがあります。
- また、治療当初は装置が舌にあたり、発音のしづらさや食べづらさなど感じることがあります。
- 歯を動かす際に、歯根吸収や歯肉退縮が起こることがあります。
- 矯正治療は患者様の協力度に左右されることのある治療です。顎間ゴムなどを歯科医師の指示通りに使用しないと期待した治療結果が得られないことがあります。
