顎変形症治療例1(外科矯正)
症状・治療方針・治療
初診時年齢:23歳
性別:女性
主訴:受け口
症状・治療方針
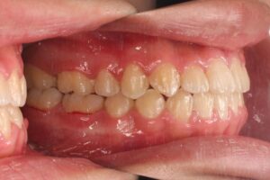
本症例においては治療前の口腔内写真、側貌写真から骨格性の下顎前突症であることの鑑別は容易です。患者様も下顎の前突感を気にされていたことから外科手術への抵抗感も少なかったようです。
十分な下顎の後退量(顎離断量)を確保できると判断し非抜歯で手術前矯正を行いました。治療中の口腔内写真は手術直前のものです。
本症例は外科矯正以外の選択肢は考えにくいのですが、骨格性の下顎前突症にも軽度から重度のものまであって、矯正治療単独で行うか、外科矯正として治療を行うかのボーダーラインケースも存在します。そのような場合には患者様の要望や、治療結果(歯並びが良くなれば良いのか、加えて顔貌の改善に対する要求の強弱、手術に対する恐怖心など)を考慮して治療方針を決めていくことになります。














治療結果
側貌写真から下顎の前突感の改善が顕著です。咬合関係も良好です。顎離断手術は顎骨は離断しますが付随する軟組織(筋肉など)はそのままなので、軟組織が新しい環境に適応するまで顎間ゴムなどの使用が非常に重要です(後戻りの原因となります)。まれに、手術後の顔貌に満足したのか顎間ゴムの使用に良好な協力を得られないことがあります。手術までしたのですからぜひ最後まで頑張って欲しいと思います。
顎変形症について
顎変形症とは顎の側方の歪みや、重度の骨格性の下顎前突症・上顎前突症・開咬症など、通常の矯正治療単独では治療が困難な骨格要因の不正咬合の総称です。
顎変形症の治療は矯正治療に加えて顎離断手術を併用することで、歯並びに加えて顔貌の大幅な改善が期待できます。
外科矯正についての詳細は「保険適用の矯正治療(外科矯正)」をご参照ください。
治療の目安
- 主訴
- 受け口
- 診断名
- 骨格性下顎前突症
- 年齢
- 23歳 女性
- 治療に用いた主な装置
- 唇側矯正装置
- 抜歯部位
- 非抜歯
- 治療期間
- 36か月 / 月に約1回の通院
- 治療費
- 約400,000円(保険診療の自己負担分。矯正治療費用、外科手術・入院費用の合計)
- リスクと副作用
-
- 顎離断手術は全身麻酔下での手術となり1週間程度の入院加療が必要となります。
- 治療中は歯みがきしにくい箇所ができるため、虫歯や歯周病のリスクが高くなるので、念入りな歯みがきが必要になります。
- 初めて矯正装置を装着した時や調整した後は、疼痛や圧迫感などを感じることがあります。
- 治療当初は装置が舌にあたり、発音のしづらさや食べづらさなど感じることがあります。
- 歯を動かす際に、歯根吸収や歯肉退縮が起こることがあります。
- 矯正治療は患者様の協力度に左右されることのある治療です。顎間ゴムなどを歯科医師の指示通りに使用しないと期待した治療結果が得られないことがあります。
