開咬の治療例4(非抜歯)
症状・治療方針・治療
初診時年齢:25歳
性別:女性
主訴:前歯の凸凹
症状・治療方針
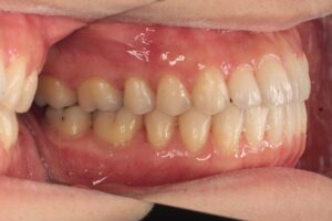
初診時正面観、上顎咬合面観から上顎前歯部に軽度な凸凹(叢生)を認めます。また、患者様は自覚されておりませんでしたが上下顎前歯部が咬み合っておらず僅かに開咬も認められました。
奥歯の咬み合わせは上顎歯列に対して下顎歯列が若干前方位にありました(下顎前突傾向)。また、上顎両側側切歯が若干小さめでした(上下顎前歯部の大きさの不調和)。
一般的には軽度な叢生の矯正治療の難易度は低いことが多いのですが、本症例のように開咬を呈していて、かつ非抜歯で治療する場合にはやや難易度が上がります。
理由は、非抜歯で治療する場合、歯を配列するためのスペースを歯列の拡大によって獲得することになり前歯部は唇側傾斜することになります。前歯の唇側傾斜は叢生改善には有利に働きますが開咬には不利に働きます。このため抜歯治療も検討しましたが、患者様は抜歯に対して抵抗感がありました。
以上のような所見から治療方針としては
1・非抜歯
2・治療中に顎間ゴムの使用は必須(垂直的、水平的)。協力が得られなければ抜歯。
3・上下顎前歯部の大きさのバランスを整えるため下顎前歯隣接面の削合
としました












治療について
治療中、奥歯の咬み合わせの前後関係を補正するために下顎前歯から上顎臼歯にかけて顎間ゴムを水平的に使用しました(Ⅲ級ゴム)。治療前側面写真と治療後側面写真を比較すると、治療後の方が犬歯~小臼歯にかけてより緊密に咬合していることがわかります。
また、治療中の正面写真を拡大すると上顎側切歯・犬歯、下顎犬歯にフックのようなものを装着しているのですが、これは小林フック(他にピグテイルなど)と呼ばれている顎間ゴムを引っかけるためのものです。これは開咬を改善するために垂直的に顎間ゴムを使用するために設置しました。
治療の後半に上下顎前歯部の大きさの不調和(上顎側切歯がやや小さいことによる)を補正するために下顎前歯部を僅かに削合し上下顎前歯部の大きさの不調和を補正しました。
顎間ゴムに対する患者様の協力度は極めて良好で、非常に良い治療結果を得られたと思います。
一方で本症例のように顎間ゴムの使用を前提とした治療計画は患者様の協力度によって治療結果が大きく左右されます。
顎間ゴムなどの着脱可能な付加装置を歯科医師より指示された場合、指示通りの使用時間を継続していただけますよう、何卒よろしくお願いいたします。
治療の目安
- 主訴
- 前歯の凸凹
- 診断名
- 叢生を伴うAngleⅢ級開咬症例
- 年齢
- 25歳 女性
- 治療に用いた主な装置
- 唇側矯正装置、顎間ゴム
- 抜歯部位
- 非抜歯
- 治療期間
- 15か月 / 月に約1回の通院
- 治療費
- 約780,000円(税込)
- リスクと副作用
-
- 治療中は歯みがきしにくい箇所ができるため、虫歯や歯周病のリスクが高くなるので、念入りな歯みがきが必要になります。
- 初めて矯正装置を装着した時や調整した後は、疼痛や圧迫感などを感じることがあります。
- また、治療当初は装置が舌にあたり、発音のしづらさや食べづらさなど感じることがあります。
- 歯を動かす際に、歯根吸収や歯肉退縮が起こることがあります。
- 矯正治療は患者様の協力度に左右されることのある治療です。顎間ゴムなどを歯科医師の指示通りに使用しないと期待した治療結果が得られないことがあります。
- 上下顎前歯部のいずれかに標準値に比べて小さい歯が存在する場合、反対側歯列の前歯部をバランスを補正するために僅かに削合することがあります
