顎変形症の治療例2(上顎両側第一小臼歯抜歯、唇側矯正装置)
症状・治療方針・治療
初診時年齢:18歳
性別:女性
主訴:受け口、コミュニケーションに不安がある
症状・治療方針
前歯部が反対咬合です。上顎左側第一小臼歯が頬側転位しており、その影響で上顎歯列正中が顔面正中に対して左偏しています。
側貌から下顎の前突感が顕著であり、本症例が前歯の傾きによる歯性の反対咬合ではなく、上下顎骨の大きさの不調和に起因する骨格性の下顎前突症であることを鑑別するのは容易です。
骨格性の下顎前突症の治療方針は大別すると2通りあります。
1・下顎の小臼歯を抜歯(軽度なら非抜歯も可)して下顎前歯を後方移動することでカムフラージュ治療を行う。この場合、歯並びは改善しますが顔貌はあまり改善しません(下口唇が後退することで若干の改善は期待できます)。
2・外科手術を併用した矯正治療(外科矯正)を行う。この場合、歯並びとともに顔貌の改善も期待できます。
本症例においては患者様も顔貌の改善を希望されたため外科矯正を選択しました。顎離断量を確保するため上顎両側第一小臼歯を抜歯することにしました。矯正単独で治療する場合には下顎の小臼歯を抜歯するのですが、下顎前突症の外科矯正では上顎の小臼歯を抜歯することが多いです。
外科矯正の手術前、受け口が治療前より悪くなるのはこのことが原因です。悪くなるというより、むしろ敢えて悪くしているのです。そうしないと手術時の下顎骨離断量が少なくなり、手術による顔貌の改善が期待できないからです。
もっとも、そのことで患者様に不満を訴えられたことは一度もありません。術前に十分に説明されていれば許容できる範囲内なのだと思います。
外科手術を併用した矯正治療には健康保険が適用されます。どのような外科手術を行うかにもよりますが目安としては矯正治療に係る医療費25万円前後、外科手術に係る医療費20万円前後になります。














治療経過
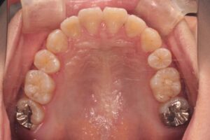
治療中の写真は外科手術直前に撮影したものです。初診時に比べて受け口が悪化したようにも見えますが、先ほど申し上げたようにこれは手術による顔貌の改善をはかるために敢えてそうしています。
治療結果
歯並びもよくなりましたが、側貌の改善も顕著でした。
治療の目安
- 主訴
- 受け口
- 診断名
- 骨格性下顎前突症(顎変形症)
- 年齢
- 18歳 女性
- 治療に用いた主な装置
- 唇側矯正装置
- 抜歯部位
- 上顎両側第一小臼歯
- 治療期間
- 36か月 / 月に約1回の通院(手術前矯正23か月、手術後矯正11か月)
- 治療費
- 約450,000円(矯正治療費、外科手術・入院費用含めた保険診療の3割自己負担分)
- リスクと副作用
-
- 治療中は歯みがきしにくい箇所ができるため、虫歯や歯周病のリスクが高くなるので、念入りな歯みがきが必要になります。
- 初めて矯正装置を装着した時や調整した後は、疼痛や圧迫感などを感じることがあります。
- 治療当初は装置が舌にあたり、発音のしづらさや食べづらさなど感じることがあります。
- 歯並びを整え、咬み合わせを改善するために、やむを得ず健康な歯を抜くことがあります。
- 歯を動かす際に、歯根吸収や歯肉退縮が起こることがあります。
- 矯正治療は患者様の協力度に左右されることのある治療です。顎間ゴムなどを歯科医師の指示通りに使用しないと期待した治療結果が得られないことがあります。
- 外科矯正の顎離断手術の際は1週間前後の入院加療が必要になります(全身麻酔)。
- 顎離断手術の前に親知らずの抜歯が必要になることがあります。口腔外科担当医の指示に従ってください。
