HOME > 医院案内 > ご質問とお答え > 埋伏犬歯による上顎前歯の歯根吸収についてのご質問
埋伏犬歯による上顎前歯の歯根吸収についてのご質問
患者様からのご質問
上顎の犬歯が中学1年生になっても生え変わらず、乳歯のままだったので歯科を受診してレントゲン撮影をしてもらったところ犬歯が前歯の中央上にあり、二本のうち一本は前歯の歯根まで進んできていました。
前歯の動揺はいまはありません。口腔外科を受診予定ですがどのような治療法が考えられますか?
当院からのお返事
歯茎に埋もれている歯のことを「埋伏歯(まいふくし)」といいます。埋伏する頻度が高いのは親知らず(第三大臼歯)ですが、上顎犬歯についても3%程度の発症率があります。
ご質問に「前歯のぐらつきは今はありません」とありますからおそらく、レントゲン撮影をおこなった歯科医院にて、埋伏犬歯(の萌出位置異常)による上顎前歯の歯根吸収を指摘された状況だと推測します。
下図は埋伏犬歯による歯根吸収の一例です。赤の点線が本来あるべき歯根形態ですが、埋伏犬歯の萌出位置異常により中切歯、側切歯の歯根がバッサリ吸収してしまっています。

治療の選択肢としては
1・埋伏犬歯を抜歯する
2・埋伏犬歯を牽引して利用する
のどちらかを症状によって決定します。
1を選択する代表的な症状は、凸凹が大きく、埋伏犬歯が存在しなくても抜歯が必要な歯並びになります。一般的に抜歯されることの多い第一小臼歯(4番)の代わりに埋伏犬歯(3番)を抜歯する場合です。
2を選択する代表的な症状は、埋伏歯を牽引するスペースが十分にあるか、矯正治療によってスペースを作ることが可能な場合です。下図は上顎両側の犬歯が上顎前歯部口蓋側に埋伏していますが、先ほどと異なり前歯の歯根吸収を引き起こしていません。乳犬歯も残存しており、犬歯を牽引して歯列に配列可能と判断しました。

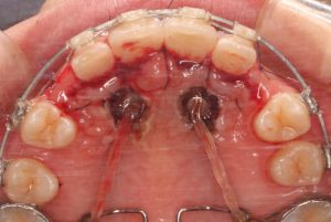
埋伏歯を外科手術で開窓し、矯正装置を装着したところです。術直後で出血もあり見えにくいですが後方に牽引をしています。

牽引開始から6か月後です。歯冠は完全に露出しており、配列部位に牽引を続けています。

装置撤去後です。犬歯が歯列内に歯に配列されました。

治療の目安
- 主訴
- すきっぱ
- 診断名
- 上顎両側犬歯埋伏を伴う空隙歯列
- 年齢
- 21歳 女性
- 治療に用いた主な装置
- 唇側矯正装置
- 抜歯部位
- 非抜歯
- 治療期間
- 3年1か月 / 月に約1回の通院
- 治療費
- 92万円
- リスクと副作用
-
- 治療中は歯みがきしにくい箇所ができるため、虫歯や歯周病のリスクが高くなるので、念入りな歯みがきが必要になります。
- 初めて矯正装置を装着した時や調整した後は、疼痛や圧迫感などを感じることがあります。
- 歯並びを整え、咬み合わせを改善するために、やむを得ず健康な歯を抜くことがあります。
- 歯を動かす際に、歯根吸収や歯肉退縮が起こることがあります。
- リテーナー(保定装置)を適切に使用しない場合は、後戻りすることがあります。
実際に埋伏犬歯をどのように処置するかは、埋伏犬歯の状態(そもそも牽引可能な状態なのかどうか)、上顎前歯の歯根の吸収の進行度、歯並びの状態(でこぼこの程度)など様々な要因が絡んでくるため考えられうる全ての可能性を列挙することは難しいですが、ある程度まとめてみたいと思います。
*上顎歯列に犬歯を配列するスペースがある場合
この場合は歯肉を切開して矯正装置を埋伏犬歯に装着して本来あるべき場所に埋伏犬歯を牽引してくる、ということが考えられます(先ほど例に挙げた症例)。
*上顎歯列に犬歯を配列するスペースがない場合
この場合には埋伏犬歯を抜歯してしまうことも考えられますし、前歯の歯根の吸収が大きく進んでいるような状況ならばその前歯を抜歯して、抜歯部位に埋伏犬歯を牽引してくるということも考えられます。
また、矯正治療を行う場合に選択される抜歯部位で最も頻度が高いのは第一小臼歯(前から数えて4番目の歯)です。埋伏犬歯が浅い位置にあって、前歯の歯根吸収があまり進行していなければ上顎左右の第一小臼歯を抜歯して埋伏犬歯をその位置に牽引する、ということも考えられます。
最後になりますが、埋伏犬歯による前歯の歯根吸収は早期発見が最も大切です。早期に発見できれば対処の選択肢が増えますし、犬歯の萌出方向によっては学童期からの治療によって萌出方向を正しい方向に変化させて歯根吸収を回避できる可能性もあります。
歯根吸収は痛みを伴わないため発見が遅れることがとても多いです。虫歯の治療のために歯科医院でレントゲンを撮影して指摘されたならいいほうで、患者様ご自身では前歯の動揺が大きくなってからでないと気が付きません。しかし、その時には既に相当程度歯根吸収が進行しています。
できる限り早期発見をするためにも、歯並びが悪くなくとも7歳くらいで一度矯正歯科を受診されることをお勧めします。
埋伏犬歯の牽引について
以下に埋伏犬歯の実際の治療例と小児期における埋伏歯について取り上げておりますのでご参考ください。
*このページは実際に患者様からメールで頂いたご質問に対する当院のお返事を中心に記載しております。そのため、患者様からの質問内容については年齢、性別、文章の特徴等、Q&A形式で考えて問題ない範囲でデフォルメして記載しております。また、内容的にも理解が得られやすいよう私の方で適宜解説を追加して記載しておりますのでご了承ください。
